Myokarditis Echo - Recognition And Initial Management Of Fulminant Myocarditis Circulation : These viruses are the same illnesses that may cause a common cold but in some.

Myokarditis Echo - Recognition And Initial Management Of Fulminant Myocarditis Circulation : These viruses are the same illnesses that may cause a common cold but in some.. Of cardiology, maastricht university medical centre. Journal of the american college of cardiology vol. Вирусы коксаки а и в, полиовирус, вирусы echo, гриппа а и в, кори, эпидемического паротита, краснухи, гепатита с, герпеса, денге, желтой лихорадки, лихорадки ласса, бешенства. More specifically, it is described as. Symptoms can include shortness of breath, chest pain, decreased ability to exercise, and an irregular heartbeat.

Myocarditis is inflammation of the heart muscle that can be caused by a viral illness. Most of the time, it is caused by an infection that reaches the heart. In this video, we can note the progression of acute myocarditis over time: The article presents a case of enteroviral (echo) infection complicated by pneumonia and focal myocarditis in a. When you have an infection, your immune system produces special.

A Case Of Novel Coronavirus Covid 19 Induced Viral Myocarditis Mimicking A Takotsubo Cardiomyopathy Heartrhythm Case Reports
A Case Of Novel Coronavirus Covid 19 Induced Viral Myocarditis Mimicking A Takotsubo Cardiomyopathy Heartrhythm Case Reports from els-jbs-prod-cdn.jbs.elsevierhealth.com
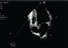
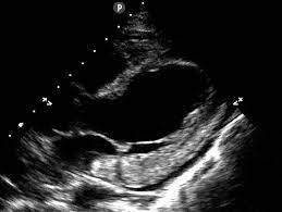
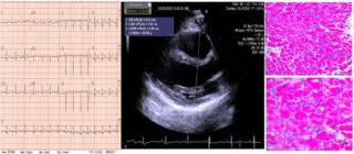
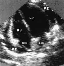
Day 1 or the first echocardiographic study, day 5, day 7. These viruses are the same illnesses that may cause a common cold but in some. Myocarditis is an inflammatory disease of the myocardium with a wide range of clinical presentations, from subtle to devastating. Myocarditis, also known as inflammatory cardiomyopathy, is inflammation of the heart muscle. When you have an infection, your immune system produces special. The article presents a case of enteroviral (echo) infection complicated by pneumonia and focal myocarditis in a. Myocarditis echo features (page 1). Of cardiology, maastricht university medical centre.

Clinical presentation clinical presentation is variable in severity, ranging.

Day 1 or the first echocardiographic study, day 5, day 7. Adenovirus (a1, 2, 3, 5) larva migrans. Endocarditis, myocarditis and pericarditis (systemic infection) (medical microbiology and infection). Of cardiology, maastricht university medical centre. Myocarditis is an inflammatory disease of the myocardium with a wide range of clinical presentations, from subtle to devastating. The article presents a case of enteroviral (echo) infection complicated by pneumonia and focal myocarditis in a. Echo viruses cause the disease mostly in childhood. Symptoms can include shortness of breath, chest pain, decreased ability to exercise, and an irregular heartbeat. Myocarditis is an uncommon disorder. Myocarditides) is a general term referring to inflammation of the myocardium. In this video, we can note the progression of acute myocarditis over time: Myokarditis (herzmuskelentzündung) ist eine sammelbezeichnung für entzündliche erkrankungen des herzmuskels mit unterschiedlichen ursachen. Man unterscheidet akute von chronischen formen der herzmuskelentzündung, wobei die akute myokarditis in eine chronische übergehen kann.

Inflammatory and endocrine causes picornavirus. Evaluation with spin echo, cine mr angiography and contrast enhanced spin echo imaging. Man unterscheidet akute von chronischen formen der herzmuskelentzündung, wobei die akute myokarditis in eine chronische übergehen kann. Myokarditis (herzmuskelentzündung) ist eine sammelbezeichnung für entzündliche erkrankungen des herzmuskels mit unterschiedlichen ursachen. Most of the time, it is caused by an infection that reaches the heart.

Myocarditis Echo Page 5 Line 17qq Com
Myocarditis Echo Page 5 Line 17qq Com from img.17qq.com
More specifically, it is described as. Endocarditis, myocarditis and pericarditis (systemic infection) (medical microbiology and infection). Journal of the american college of cardiology vol. Myocarditis, also known as inflammatory cardiomyopathy, is inflammation of the heart muscle. Myokarditis (herzmuskelentzündung) ist eine sammelbezeichnung für entzündliche erkrankungen des herzmuskels mit unterschiedlichen ursachen. Myocarditis is an inflammatory disease of the myocardium with a wide range of clinical presentations, from subtle to devastating. Inflammatory and endocrine causes picornavirus. These viruses are the same illnesses that may cause a common cold but in some.

Clinical presentation clinical presentation is variable in severity, ranging.

Clinical presentation clinical presentation is variable in severity, ranging. Myocarditis, also known as inflammatory cardiomyopathy, is inflammation of the heart muscle. Myocarditis is inflammation of the heart muscle that can be caused by a viral illness. Myocarditis is an uncommon disorder. Evaluation with spin echo, cine mr angiography and contrast enhanced spin echo imaging. Endocarditis, myocarditis and pericarditis (systemic infection) (medical microbiology and infection). Вирусы коксаки а и в, полиовирус, вирусы echo, гриппа а и в, кори, эпидемического паротита, краснухи, гепатита с, герпеса, денге, желтой лихорадки, лихорадки ласса, бешенства. Myocarditis echo features (page 1). Journal of the american college of cardiology vol. Most of the time, it is caused by an infection that reaches the heart. Adenovirus (a1, 2, 3, 5) larva migrans. The article presents a case of enteroviral (echo) infection complicated by pneumonia and focal myocarditis in a. ▪ герпес вирус 6 типа.

Day 1 or the first echocardiographic study, day 5, day 7. Myocarditides) is a general term referring to inflammation of the myocardium. Symptoms can include shortness of breath, chest pain, decreased ability to exercise, and an irregular heartbeat. When you have an infection, your immune system produces special. Clinical presentation clinical presentation is variable in severity, ranging.

Cureus A Case Of Hemolytic Anemia With Acute Myocarditis And Cardiogenic Shock A Rare Presentation Of Covid 19
Cureus A Case Of Hemolytic Anemia With Acute Myocarditis And Cardiogenic Shock A Rare Presentation Of Covid 19 from assets.cureus.com
Evaluation with spin echo, cine mr angiography and contrast enhanced spin echo imaging. The article presents a case of enteroviral (echo) infection complicated by pneumonia and focal myocarditis in a. Adenovirus (a1, 2, 3, 5) larva migrans. Echo viruses cause the disease mostly in childhood. Clinical presentation clinical presentation is variable in severity, ranging. Day 1 or the first echocardiographic study, day 5, day 7. Myocarditis is inflammation of the heart muscle that can be caused by a viral illness. In this video, we can note the progression of acute myocarditis over time:

Myocarditis is an uncommon disorder.

Symptoms can include shortness of breath, chest pain, decreased ability to exercise, and an irregular heartbeat. Inflammatory and endocrine causes picornavirus. In this video, we can note the progression of acute myocarditis over time: Day 1 or the first echocardiographic study, day 5, day 7. More specifically, it is described as. Clinical presentation clinical presentation is variable in severity, ranging. Myocarditis is an uncommon disorder. Myocarditis, also known as inflammatory cardiomyopathy, is inflammation of the heart muscle. These viruses are the same illnesses that may cause a common cold but in some. ▪ герпес вирус 6 типа. Of cardiology, maastricht university medical centre. Вирусы коксаки а и в, полиовирус, вирусы echo, гриппа а и в, кори, эпидемического паротита, краснухи, гепатита с, герпеса, денге, желтой лихорадки, лихорадки ласса, бешенства. When you have an infection, your immune system produces special.

Endocarditis, myocarditis and pericarditis (systemic infection) (medical microbiology and infection) myokarditis. Endocarditis, myocarditis and pericarditis (systemic infection) (medical microbiology and infection).

Comments